علاج ورم القواتم بالأعشاب: بين الحقيقة العلمية والدعم الطبيعي… ما الذي يمكن فعله بأمان
✍️ كتب: ضحى إبراهيم
قد يكون سماع تشخيص ورم القواتم صادمًا ومقلقًا، خاصة عندما يرتبط بارتفاع مفاجئ في ضغط الدم ونوبات حادة يصعب التنبؤ بها.
كثير من المرضى وذويهم يتجهون للبحث عن حلول طبيعية أو بدائل داعمة، ويتكرر السؤال: هل يمكن أن يكون علاج ورم القواتم بالأعشاب خيارًا حقيقيًا أم مجرد وهم؟
هذا الدليل الشامل يوضح الصورة كاملة بموضوعية علمية، ويفصل ما يمكن للأعشاب أن تقدمه كدعم مكمل، وما لا يمكنها فعله، مع الإجابة عن الأسئلة الأكثر بحثًا حول المرض، دون مبالغة أو وعود غير واقعية.
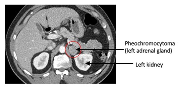
ما هو ورم القواتم
ورم القواتم هو ورم نادر ينشأ غالبًا في الغدة الكظرية، وهي غدتان صغيرتان تقعان أعلى الكليتين. تتمثل خطورته في إفراز هرمونات بكميات كبيرة، خاصة الأدرينالين والنورأدرينالين، ما يؤدي إلى ارتفاع ضغط الدم بشكل مفاجئ ونوبات شديدة.
فهم ما هو ورم القواتم خطوة أساسية قبل الحديث عن أي علاج، لأن طبيعة الورم الهرمونية تفرض قيودًا واضحة على أي تدخل علاجي غير طبي.
أين يوجد ورم القواتم
في أغلب الحالات يوجد الورم داخل الغدة الكظرية، لكن في بعض الحالات النادرة قد يظهر خارجها على مسار الجهاز العصبي الودي. لذا فإن سؤال أين يوجد ورم القواتم ليس تفصيلاً بسيطًا، بل عاملًا مؤثرًا في الخطة العلاجية والمتابعة الطبية.
شكل ورم القواتم
من حيث الشكل، لا يمكن التعرف على الورم بالعين المجردة. يتم تحديد شكل ورم القواتم عبر التصوير الطبي مثل الأشعة المقطعية أو الرنين المغناطيسي، حيث يظهر ككتلة قد تختلف في الحجم، وقد تكون حميدة في أغلب الحالات، لكنها تظل نشطة هرمونيًا.
أعراض ورم القواتم
تنتج الأعراض عن الزيادة المفاجئة في إفراز الهرمونات، وقد تكون متقطعة أو مستمرة.
أعراض ورم القواتم عند النساء
تشمل أعراض ورم القواتم عند النساء
ارتفاع ضغط الدم المتكرر أو المفاجئ
خفقان القلب
صداع شديد
تعرق زائد
قلق وتوتر غير مبرر
اضطرابات في الدورة الشهرية أحيانًا
نوبات هلع تشبه القلق الحاد
هذه الأعراض قد تتداخل مع أمراض أخرى، ما يجعل التشخيص الدقيق ضروريًا.
نوبة ورم القواتم
نوبة ورم القواتم هي ذروة الأعراض، وقد تحدث فجأة، مصحوبة بارتفاع حاد في الضغط وتسارع ضربات القلب وتعرق شديد. هذه النوبات هي السبب الرئيسي في خطورة المرض، ولا يجوز التعامل معها بالأعشاب فقط.
تحليل ورم القواتم
يعتمد التشخيص على تحليل ورم القواتم عبر قياس نواتج هرمونات الكاتيكولامين في الدم أو البول، إضافة إلى الفحوصات التصويرية. هذه التحاليل أساسية ولا يمكن الاستغناء عنها أو استبدالها بوسائل طبيعية.

هل يمكن الشفاء من ورم القواتم
يتساءل كثيرون: هل يمكن الشفاء من ورم القواتم؟
الجواب الطبي الواضح هو: نعم، في نسبة كبيرة من الحالات، خاصة إذا كان الورم حميدًا وتم استئصاله جراحيًا بعد التحضير الدوائي المناسب.
الأعشاب لا تشفي الورم ولا تزيله، لكنها قد تلعب دورًا داعمًا في تخفيف بعض الأعراض وتحسين جودة الحياة تحت إشراف طبي.
كم يعيش مريض ورم القواتم
سؤال كم يعيش مريض ورم القواتم يرتبط بشكل مباشر بسرعة التشخيص والعلاج. مع العلاج الصحيح، يمكن للمريض أن يعيش حياة طبيعية تقريبًا. أما إهمال العلاج أو الاعتماد على وسائل غير طبية فقط، فقد يؤدي إلى مضاعفات خطيرة تهدد الحياة.
أين يأتي دور الأعشاب
عندما نتحدث عن علاج ورم القواتم بالأعشاب، يجب توضيح نقطة محورية:
الأعشاب لا تعالج الورم ذاته، لكنها قد
تساعد في تهدئة الجهاز العصبي
تخفف التوتر المصاحب للنوبات
تدعم استقرار ضغط الدم بشكل غير مباشر
تحسن النوم والحالة النفسية
وهذا كله ضمن إطار داعم لا بديل عن العلاج الطبي.
أعشاب قد تُستخدم كدعم مكمل
الزعرور
يُعرف بدوره في دعم صحة القلب والمساعدة على تهدئة ضربات القلب، وقد يفيد في تقليل الخفقان الخفيف، لكنه لا يمنع نوبات الورم.
البابونج
يساعد على الاسترخاء وتقليل القلق، وهو مفيد نفسيًا للمرضى الذين يعانون من توتر دائم.
المليسة
قد تسهم في تهدئة الجهاز العصبي وتحسين النوم، وهو عامل مهم لمرضى يعانون من اضطرابات نوم متكررة.
الخزامى
يُستخدم غالبًا في تقليل التوتر وتحسين المزاج، وقد يساعد في السيطرة على القلق المصاحب للمرض.
الشوفان الأخضر
يُستعمل تقليديًا لدعم الأعصاب، وقد يكون مفيدًا كعامل مساعد نفسيًا.

محاذير شديدة الأهمية
بعض الأعشاب قد تكون خطيرة على مرضى ورم القواتم لأنها قد تحفز إفراز الأدرينالين أو ترفع الضغط، مثل
العرقسوس
الجنسنج
الإيفيدرا
القرفة بجرعات كبيرة
استخدام هذه الأعشاب دون استشارة طبية قد يؤدي إلى نوبة حادة.
النظام الغذائي الداعم
إلى جانب الأعشاب، يلعب الغذاء دورًا مهمًا
تقليل الكافيين
تجنب المنبهات
الابتعاد عن الأطعمة المالحة
زيادة الخضروات الورقية
شرب الماء بانتظام
هذا لا يعالج الورم، لكنه يقلل من تهيج الجهاز العصبي.
الجانب النفسي وأهميته
الضغط النفسي قد يحفز نوبات المرض. تقنيات مثل
التنفس العميق
التأمل
العلاج السلوكي
الدعم الأسري
كلها عوامل مساعدة تقلل من تكرار النوبات.
الفرق بين العلاج الطبي والدعم العشبي
العلاج الطبي يهدف إلى
السيطرة على الهرمونات
منع النوبات
إزالة الورم جراحيًا
أما الأعشاب فدورها
داعم
مساند
غير شافٍ
والخلط بين الدورين قد يكون خطيرًا.
متى يكون استخدام الأعشاب مقبولًا
يكون مقبولًا فقط عندما
يكون المريض تحت إشراف طبي
لا تُستخدم الأعشاب بدل الدواء
يتم تجنب الأعشاب المحفزة
يُراقب ضغط الدم بانتظام
غير ذلك، يصبح الاستخدام مغامرة غير محسوبة.
أسئلة شائعة
هل يمكن علاج ورم القواتم بالأعشاب فقط
لا، لا يمكن علاج الورم بالأعشاب وحدها، والعلاج الطبي هو الأساس.
هل الأعشاب تمنع نوبة ورم القواتم
لا تمنعها، لكنها قد تقلل التوتر الذي يساهم في تحفيز النوبات.
هل هناك أعشاب تشفي ورم القواتم
لا توجد أي دراسات علمية تثبت شفاء الورم بالأعشاب.
هل يؤثر ورم القواتم على العمر
نعم إذا لم يُعالج، لكن مع العلاج الصحيح يمكن أن يكون العمر طبيعيًا.
هل تختلف الأعراض بين الرجال والنساء
الأعراض الأساسية متشابهة، لكن أعراض ورم القواتم عند النساء قد تتداخل مع اضطرابات هرمونية أخرى.

ماذا يحدث لجسمك عند ممارسة تمارين المقاومة؟
الخلاصة
علاج ورم القواتم بالأعشاب لا يجب أن يُفهم على أنه بديل للعلاج الطبي، بل كدعم تكميلي محدود يهدف إلى تحسين الراحة النفسية وتقليل التوتر فقط. الورم في جوهره حالة طبية خطيرة تستدعي تشخيصًا دقيقًا وعلاجًا متخصصًا.
التعامل الواعي والمتوازن بين الطب الحديث والدعم الطبيعي، وتحت إشراف طبي صارم، هو الطريق الآمن الوحيد. هذا المقال التوعوي من المفيد نيوز يضع الحقيقة كاملة أمام القارئ، دون تهويل أو وعود زائفة، حفاظًا على الصحة والحياة.











